

24時間受付中!初回体験1980円
【残り17名限定】



歯は放って置くだけでも、
加齢による歯自体の黄ばみの進行と
日頃の食事による着色の積み重ねで
どんどん黄ばみが強くなっていきます。
歯の黄ばみ、
老け見えの悩みは
私達にお任せください。
歯の表面の着色を落とすのに対して、
ホワイトニングセンターは、
1来店最大80分の照射時間と
独自開発のホワイトニングジェルで
歯そのものの色を白くすることで、
他サロンを超える白さを実現し、
−5歳の若見えを叶えます。

自社開発ジェルと
長い施術時間だから
ここまで結果が
でています!








※効果には個人差があり、写真は効果効能を保証するものではございません。
ホワイトニングで
こんな変化が
汚れの付きにくい強い歯に
殺菌効果で口臭が改善
清潔感がUPし好印象へ
表情が明るく見え若々しい印象に
歯の色が統一され歯並びが良く見える

歯を白くして、
白い歯をキープするには
問題点があります。
ホワイトニングサロンの
問題点
歯医者ホワイトニングの
問題点
ホームホワイトニングの
問題点
ホワイトニングセンターは、
これらの問題点をすべてクリアします。
ホワイトニングセンター
が選ばれる
5つの理由
来店80分まで施術が可能
一般的なホワイトニングサロンが1来店あたり20分の施術に対して、ホワイトニングセンターでは80分まで施術が可能となっています。
より少ない来店数で効率よく歯の色を白くしていくことが可能となっています
2種類の溶液とジェルを使用
当店では、歯の表面の着色を汚れを除去するクリーニングと歯の内側からお色上げの期待が出来るホワイトニングの両方の施術を行うことが可能です。お客様の歯の状況を確認して最善のご提案を専属スタッフが行って参ります。
また、使用している溶液は国内最大手メーカーと連携しており、日本品質の国内製造の商品にこだわっており、しみる可能性を極限まで抑えた安全なジェルとなります。
通いやすい料金設定
一般的な歯医者でホワイトニングを行うには1回あたり2万円程度の費用がかかります。当店では1回あたりの施術が1650円~で、お客様の続けやすさを重視して価格を設定しております。
また、定期サブスクメンテナンスプランを用意していますので。歯を白くした後も、20分あたり1650円で白い歯をキープできます。
スタッフの手厚いサポート
一般的なセルフホワイトニングは施術のレクチャーを受け、その後自分で施術しなければなりません。その結果、適切な施術が行えず期待通りの効果がでない場合もございます。
当店では、常に専任のスタッフが隣でサポートしますので完全セルフではございません。そのサポートより安心して効果が期待できます。
5店舗相互利用可能
那覇新都心店、那覇国場店、浦添市役所前店、うるま江洲店、沖縄コザ店の相互利用が可能となります。
予約の取りやすい環境は整えていますが、万が一予約が埋まっていても他店舗にてホワイトニングを受けることが可能となります。
\ お客様の声 /


















まだまだ沢山頂いております
※効果には個人差があり、写真は効果効能を保証するものではございません。
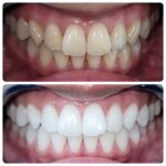
1回施術での
Before After








※効果には個人差があり、写真は効果効能を保証するものではございません。



(※返金ポリシー)施術前後でbefore afterの歯のトーンチャックを行い、変化が見られない場合は施術料金はいただきません。
24時間受付中!初回体験1980円
【残り17名限定】
~ホワイトニングの流れ~





よくある質問(FAQ)
A
現在、男性女性共に10代~60代のお客様が来店していただいております。歯をコーティングし強くすることが期待できますので、40代以上の方からは冷たいものがしみにくくなったという声も頂いております。
A
初回は、アンケート記入・カウンセリングもございますので90分頂いております。2回目以降は60分程度となっております。
A
年齢制限は特にございません。
お子様は歯の着色がそれほど多くない傾向にあります。 またマウスオープナーがお子様用では無いためお口にはまらないことが多くなります。
A
通常、歯医者では矯正をしながらホワイトニングはお断りされる事がほとんどだと思いますがchuraでは矯正器具にダメージを与える事はありませんので施術が可能です(変形や変色もありません)
歯にダメージなく綺麗な白さを取り入れ、自分の笑顔にも、より自信が持てると思います。
A
希望の白さになるまでは、ご来店できるタイミングで詰めて通う事をお勧めしています。
希望の白さになれば、月に1回~2回程度の来店でキープすることが可能です。
A
問題ありません。元の色より白くすることは出来ませんが着色汚れを落とすので、治療したての色味に戻すことができます。
A
虫歯予防の研究開発から生まれた技術ですので、セルフホワイトニングにより虫歯が悪化するという事はありませんので問題ありません。
A
食品で認められているものを使用しているため、安全性も高く飲み込んでしまっても害はありません。
A
ほとんどの方は1回でも効果をご実感いただけます。
特に当店では、効果を実感していただくためのホワイトニング専門スタッフがサポートして施術を行うので、1回の施術でも2トーン〜6トーン白くなります。それを繰り返し行っていただく事で理想のの歯の明るさに近づきます。
※効果には個人差があります
A
人工歯は付けていただいた時の色に近づくのみで、それ以上白くなることはありません。
ご自身の歯を希望の色まで白くして、人工の歯を色を合わせて入れなおすことをお勧めしています。
A
MSDS(安全データシート)を取得しておりますので、アレルギー反応によるリスクは御座いません。
サービス開始からアレルギー反応による事故、事例は御座いません。
A
歯の構造は内部の象牙質と外側のエナメル質から構成されています。
エナメル層が薄い場合、内部の象牙質が透けてしまい黄色く見えてしまいます。
エナメル層が薄くなる要因としては、遺伝により生まれながらに薄い場合や、加齢によるものもございます、これらの場合は歯の表面に汚れが着色している概念とは異なってしまうため、効果は感じずらくなります。
A
現金、クレジット、ペイペイがご利用可能となります。
A
現在、男性女性共に10代~60代のお客様が来店していただいております。歯をコーティングし強くすることが期待できますので、40代以上の方からは冷たいものがしみにくくなったという声も頂いております。
A
初回は、アンケート記入・カウンセリングもございますので90分頂いております。2回目以降は60分程度となっております。
A
年齢制限は特にございません。
お子様は歯の着色がそれほど多くない傾向にあります。 またマウスオープナーがお子様用では無いためお口にはまらないことが多くなります。
A
通常、歯医者では矯正をしながらホワイトニングはお断りされる事がほとんどだと思いますがchuraでは矯正器具にダメージを与える事はありませんので施術が可能です(変形や変色もありません)
歯にダメージなく綺麗な白さを取り入れ、自分の笑顔にも、より自信が持てると思います。
A
希望の白さになるまでは、ご来店できるタイミングで詰めて通う事をお勧めしています。
希望の白さになれば、月に1回~2回程度の来店でキープすることが可能です。
A
問題ありません。元の色より白くすることは出来ませんが着色汚れを落とすので、治療したての色味に戻すことができます。
A
虫歯予防の研究開発から生まれた技術ですので、セルフホワイトニングにより虫歯が悪化するという事はありませんので問題ありません。
~ご案内~
当キャンペーンは通常7,700円でご案内しているサービスを1,980円で提供しております。表示されている残り枠はあくまで目安となっておりますので、予告なくキャンペーンを終了させていただきますのでご了承ください。
また、こちらページは広告限定ページとなっていますので検索では表示されません。必ずこの機会にご予約をお済ませ下さい。
24時間受付中!初回体験1980円
【残り17名限定】

広島福山駅前店

アクセス情報
福山駅徒歩3分、駐車場完備。
-
広島福山駅前店
【歯の黄ばみの原因と対策】福山市で“白くしたい”人がホワイトニングセンターを選ぶ理由
歯の白さは、第一印象を大きく左右します。特に接客業・営業職・美容関係の方は、歯の黄ばみを気にされることが多く、ホワイトニングを取り入れる方が増えています。 福山市で「歯を白くしたい」と調べる方へ、歯が黄ばむ理由と、ホワイ […] -
広島福山駅前店
【福山市で歯を白くしたいあなたへ】初めてでも安心のホワイトニングセンター広島福山駅前店
「最近、歯の黄ばみが気になってきた…」「写真を撮ると、前より歯が暗く見える気がする」そんな悩みからホワイトニングを考える方が、福山市でも増えています。 ホワイトニングは、難しい知識がなくても始められるケアです。この記事で […] -
広島福山駅前店
40代からのホワイトニングデビュー!「もう白くならない…」を卒業しませんか?
最近、鏡を見るたびに「前より歯が黄色い?」と感じることはありませんか?実は40代の女性の多くが同じ悩みを抱えています。 「歯磨き粉を変えてもダメ」「サロンでホワイトニングしたけど思うほど白くならない」「もう年齢のせいなの […] -
広島福山駅前店
【福山市で歯を白くしたい方へ】ホワイトニングセンター広島福山駅前店で叶える“自然で清潔感ある白さ”
「福山市でホワイトニングを探している」「歯を白くして印象を変えたい」そんな想いを持っているあなたへ向けて、ホワイトニングセンター広島福山駅前店から、白い歯を目指すための情報をまとめました。 歯の白さは、笑顔の印象や清潔感 […] -
広島福山駅前店
40代から輝きが戻る。上質な白さで笑顔に自信を—ホワイトニングセンター広島福山駅前店
人生の後半こそ、笑顔は資産になる 40代に入り、ライフスタイルが落ち着いてくると、見た目の印象に“丁寧さ”や“品”を求める方が増えてきます。その中でも、思いのほか大きな影響を与えるのが「歯の白さ」です。 肌や髪はケアして […]
24時間受付中!初回体験1980円
【残り17名限定】

