歯が白くなるだけで、こんなに印象って変わるんだ…。
最近、お客様からこの言葉をいただくことが増えてきました。
福山市でもホワイトニングを始める方が増えていますが、「どこで受ければ効果が実感できるのか?」という声も同じくらい多いです。特に、
- 歯科提携で安心して受けたい
- しっかり白くなるものを選びたい
- ビフォーアフターで本当に変わるのか見たい
という方にとって、“医療ジェル”を使うホワイトニングは大きな魅力があります。
今回は、ホワイトニングセンター広島福山駅前店で実際に多い変化や、お客様の様子を交えながら、「どんなふうに白くなるのか?」をリアルにイメージできる記事としてまとめました。
白さのレベルが変わる“医療ジェル”の魅力とは
ホワイトニングにはいろいろな種類があります。
そんな中で、当店が導入しているのは、歯科提携により使用できる医療用ホワイトニングジェル。一般的なホワイトニングよりも、歯の内部にある色素にアプローチしやすいのが特長です。
医療ジェルの魅力は以下の3つ。
① 内側までしっかり作用する
歯の内部に沈着した色を分解しやすいため、表面だけが白くなるわけではなく、**“透明感とトーンアップの両方”**を実感しやすいのがポイントです。
② 歯科提携による安心の管理
医療ジェルの使用量や施術プロセスは、歯科医師の監修のもと決められています。初めての方でも安心して受けられるよう、カウンセリングで丁寧に説明しています。
③ 白さの限界値が高い
「せっかくホワイトニングするなら最大限白くしたい」という方が医療ジェルを選ばれることも多く、1回で大きくトーンが変わるケースも珍しくありません。
ビフォーアフターからわかる“変化の幅”
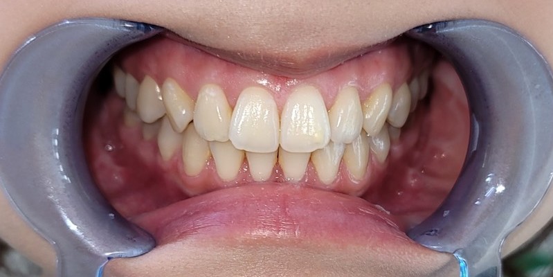
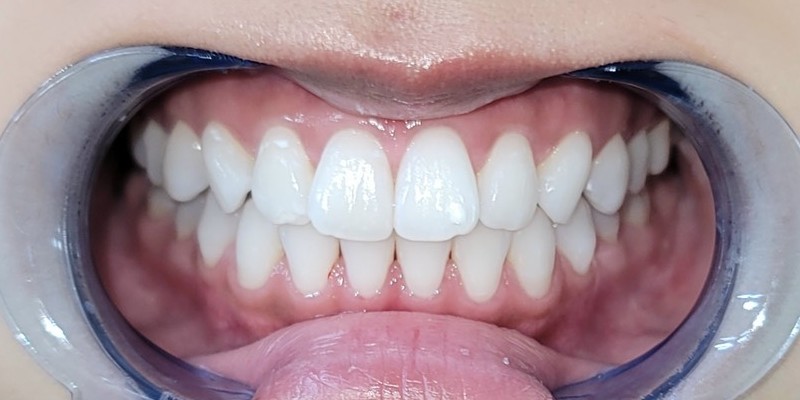
ホワイトニングセンター広島福山駅前店で施術をされたお客様の多くが、ビフォーアフターを見た瞬間に驚かれます。
口元は自分では毎日見ている部分なので、変化に気づきにくいと思いがちですが、写真で比べるとその差ははっきりわかります。
● Before【20代女性、シェードガイドS30】

・前歯の黄ばみが気になる
・笑ったときに色ムラが目立つ
・「歯を見せて笑うのが苦手」と感じる方も
● After【3ヵ月集中コース、シェードガイドS2】

・歯全体がトーンアップし、一目で“明るい印象”に
・透明感が出て、白さが自然
・写真に写った自分を見て、気持ちが前向きになる方も
あるお客様は、施術後の鏡を見た瞬間「本当に私の歯ですか?」と笑っていたほどです。
たった数十分の施術が、ここまで気持ちを変えてくれるんだと、私たちも毎回嬉しくなります。
通いやすさと“続けられる環境”も当店の魅力
ホワイトニングは、環境や雰囲気も大切です。
ホワイトニングセンター広島福山駅前店は、
福山駅徒歩すぐのアクセスの良さと、
落ち着いた雰囲気の空間が特徴。
「仕事帰りに寄れるのがありがたい」
「緊張する場所だと思っていたけど、想像よりリラックスできた」
という声をいただくことも多く、初めてでも来店しやすい雰囲気づくりを心がけています。
あなたはどのタイプ? 来店される方の“リアルな理由”
実際にどんな方が来店されるのか?
一部をご紹介すると…
- 職場で人と話すことが多く、口元の印象を明るくしたい
- 結婚式や前撮りを控えている
- 久しぶりの同窓会で若々しく見せたい
- 年齢による着色をどうにかしたい
- 市内の歯科ホワイトニングと迷っている
という方が非常に多いです。
どの理由も、“もっと自分を好きになりたい”という想いが根本にあります。
歯が白くなると、自信がつき、自然と表情も明るくなるから、本当にすてきな変化です。
白さを維持するためにできること
白くなった後は、その状態を長くキープしたいですよね。
当店では、お客様の生活スタイルに合わせたメンテナンス方法をお伝えしています。
- コーヒー・紅茶をよく飲む
- 赤ワインが好き
- 色の濃い食べ物をよく食べる
- 喫煙習慣がある
こうした習慣がある方は、こまめなメンテナンスをすると白さが長持ちしやすくなります。
逆に、普段から着色しやすいものをあまり摂らない方は、維持しやすい傾向があります。
無理なく継続するためのペースをご提案できるのも、専門店ならではです。
まずは気軽にご相談ください
ホワイトニングは決して特別なものではありません。
「少し気になるから話だけ聞いてみたい」
そのくらいの気持ちでも、もちろん大歓迎です。
ホワイトニングセンター広島福山駅前店では、
丁寧なカウンセリングと、安心の歯科提携ホワイトニングで、
あなたの理想の白さを一緒に叶えます。
\ご予約・お問い合わせはこちら/
https://ssv.onemorehand.jp/w-c_h-fukuyama/
※カウンセリングのみの来店もOKです。
あなたの笑顔が、もっと好きになる毎日をつくりましょう。

