福山市で「本気で歯を白くしたい」と考える方が増えています。
SNSや写真の機会が多くなった今、口元の印象は大きな意味を持つようになりました。
ホワイトニングセンター広島福山駅前店では、歯科提携による医療用ホワイトニングジェルを使用し、ただ白くするだけでなく、“自然で透明感のある白さ”を目指したケアを提供しています。
今回は、当店の特徴や実際の変化がよくわかるビフォーアフターをご紹介しながら、どんな方に向いているサービスなのか、よりリアルにお伝えします。
医療ジェルが選ばれる理由とは?
ホワイトニングには、サロン、クリニック、自宅用などさまざまな種類があります。
その中でも、「医療ジェルを使った歯科提携型ホワイトニング」は、白さの実感が早いことから選ばれています。
● 内側までアプローチ
歯の表面だけをコーティングするのではなく、内部の色素にも働きかけるため、白くなる幅が大きいのが魅力です。
● 歯科提携ならではの安心
医療用ジェルは、濃度や適切な量の管理が大切。
当店では歯科医師の監修のもと、正しい取り扱いで施術しています。
● 初めての方も不安が少ない
施術前にカウンセリングを行い、希望の白さや気になる点を伺いながら進めるため、「初めてだけど安心できた」との声が多いです。
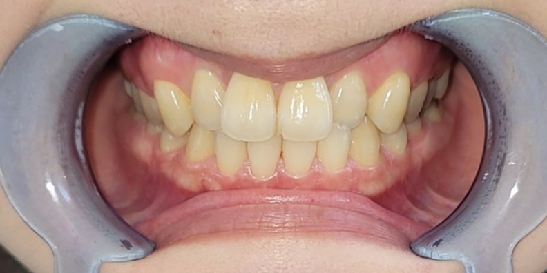
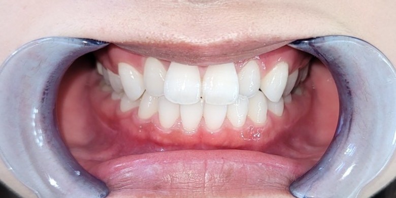
見たら納得!ビフォーアフターの変化
実際に施術を受けたお客様の声で多いのが、
「思っていたより白くなって驚いた!」
というもの。
前後比較の写真を見ると、その違いは一目瞭然です。
● Before

・全体的に黄ばみが強い
・歯に透明感がなく、くすんで見える
・自分の歯に自信を持てず、笑顔が控えめ
● After

・トーンが上がり、歯が明るく見える
・透明感が出て、自然でキレイな仕上がり
・笑顔が自然に出るようになったと喜ばれる方も多い
歯が白くなると、表情まで変わるのが分かります。
通いやすい立地と落ち着いた空間
ホワイトニングセンター広島福山駅前店は、福山駅すぐの便利な場所にあります。
仕事帰りや学校帰りにも立ち寄りやすく、
「いつでも行きやすい」
「続けやすい」
と評判です。
白と木目を基調にした店内は、落ち着いた雰囲気で、緊張感なく過ごしていただけます。
こんな方に選ばれています
- 写真に写ると歯の黄ばみが気になる
- 結婚式や前撮りなど特別な予定を控えている
- 人前に立つ仕事のため印象を明るくしたい
- 若々しい口元にしたい
- 歯科のホワイトニングと比較して検討したい
年齢や性別を問わず、多くの福山市民の方にご利用いただいています。
白さをキープするコツ
医療ジェルで白くなった後は、できるだけその状態を保ちたいところ。
以下のような工夫で維持しやすくなります。
- 色の濃い飲み物はストローを使う
- 施術後24時間は着色しやすい食べ物を避ける
- 定期的にメンテナンスをする
当店では、ライフスタイルに合わせたメンテナンスのタイミングもご提案しています。
ホワイトニングは、ただ歯を白くするだけではありません。
「自信が持てるようになった」
「笑顔が好きになった」
という声をいただくたび、私たちも嬉しくなります。
福山市で本気でホワイトニングを始めたい方は、ぜひ一度ご相談ください。
カウンセリングだけの来店も大歓迎です。
▶ ホワイトニングセンター広島福山駅前店|ご予約はこちらhttps://ssv.onemorehand.jp/w-c_h-fukuyama/

