正直、行くほどでもないと思っていませんか?
・歯がものすごく汚いわけじゃない
・今すぐ困っているわけでもない
・でも、白かったらいいなとは思う
福山市でホワイトニングを検索している方の多くは、
この「気になるけど、後回し」の状態にいます。
実は、
ホワイトニングセンター広島福山駅前店に来店される方も、
最初はほとんど同じ気持ちでした。
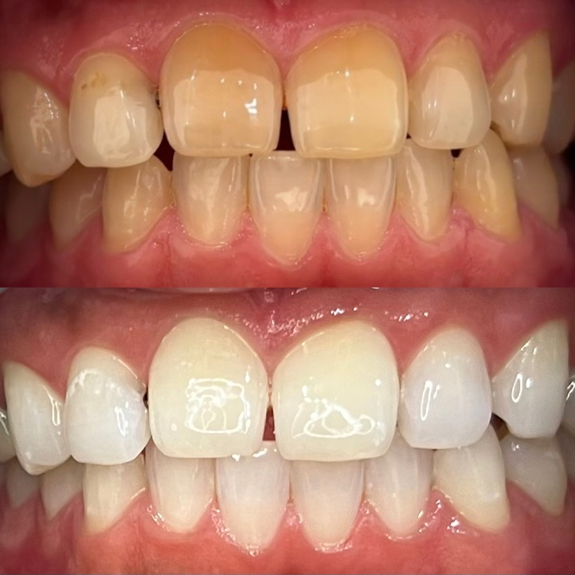
「写真を見て、初めて自分ごとになった」
今回ご紹介する症例のお客様も、
最初は「話だけ聞いてみようかな」という軽い気持ちでした。
ところが、
実際の症例写真を見た瞬間、こう言われました。
「……これ、私の歯も変わるんですか?」

写真で見る変化は、
想像していたよりも現実的で、
無理がなく、自然でした。
- 黄ばみが抜けて
- 歯の印象が明るくなり
- 笑ったときの雰囲気が変わる
「白すぎないのがいい」
「ちゃんと“自分の歯”って感じがする」
そんな言葉が印象的でした。
ホワイトニングの効果は「信じられるかどうか」
「本当に白くなるの?」
「一時的じゃないの?」
「どんなものを使ってるか分からないのが不安」
これは、
ホワイトニングを検討する方が
必ずぶつかる疑問です。
ホワイトニングセンター広島福山駅前店では、
歯科提携の歯科ジェルを使用しています。
理由はシンプルです。
👉 自分の歯に使うものだから、
よく分からないものは使いたくない
その考え方を大切にしています。
「本格的」という言葉に、理由はあるのか
世の中には、
手軽さを売りにした方法もたくさんあります。
でも、
- 効果が分かりにくい
- 何が使われているのか分からない
- 写真で変化を見せてもらえない
そんな不安を抱えたままでは、
心から納得することはできません。
当店が大切にしているのは、
あとから後悔しない選択です。
症例写真を見て、
説明を聞いて、
それでも「やってみたい」と思えた方だけに
来店していただきたいと考えています。
歯が白くなると、何が変わるのか
劇的に人生が変わる、
そんな大げさな話ではありません。
でも実際に多いのは、
- 写真を撮るときに口元を気にしなくなった
- 人と話すときに自然に笑えるようになった
- 「清潔感があるね」と言われた
こうした小さな変化の積み重ねです。
歯は、
毎日目に入る場所だからこそ、
自分の気分に与える影響が大きいのです。
福山市で、静かに選ばれている理由
ホワイトニングセンター広島福山駅前店は、
派手な宣伝をしているわけではありません。
それでも来店が続いているのは、
- 歯科提携という安心感
- 症例写真で変化を確認できること
- 福山駅前で通いやすい立地
そして何より、
無理に勧められない空気があるからです。
まだ迷っている方へ
ここまで読んで、
「ちょっと気になるな」と思ったなら、
それは十分な理由です。
無理に決める必要はありません。
いきなり始めなくても大丈夫です。
まずは、
- 症例写真を見て
- 話を聞いて
- 自分に合うか考える
それだけでいいのです。
あなたが思っているより、変化は近いかもしれません
歯を白くすることは、
特別な人のためのものではありません。
「少し印象をよくしたい」
その気持ちがあれば、十分です。
👉 福山市で本格的なホワイトニングを検討している方は、
ホワイトニングセンター広島福山駅前店へ。https://schedule.salon-reserve.com/P06RX2CZXP
症例写真を見てから、
ゆっくり判断してください。
あなたの一歩を、
私たちは静かにお待ちしています。

